来源:丁香园
作者:酥酥
01.
算上今天,恰好是我作为肿瘤科医生到美国交流访问的第 180 天。
在急诊室另一种语言的喧嚣声里,我见到了一个熟悉的身影。患者原本温柔的棕色波浪卷凌乱地散开着,此刻她面色苍白,额头上冒着冷汗,蜷缩在病床上——这绝不是我第一次在急诊见到 K 了。
和前两次一样,K 的症状仍是持续几天的头痛、心慌。我依稀记得前几次她的血压和心跳都偏高,不知道这次情况如何。
「血压 160/110mmHg,先给你开一点止痛药吧。」同事熟练地测量着她的基本生命体征。
「心率 160 次每分。」
「这次还是月经前开始痛的?」
得到了她肯定的答案以后,同事和我对视了一眼,K 的腹痛,似乎总在以一种非常规律的方式上演。
……
与此同时,远在大洋彼岸的我妈打来一个不合时宜的慰问电话。我亲爱的母亲,一个临近退休的妇产科主任,有着丰富的医学知识储备,但算不明白时差。
我躲到一个清静的角落,本想三言两句赶紧结束寒暄,却突然灵机一动,把 K 的情况转述给了我妈。
「我刚接了一个病人,育龄期年轻女性、既往身体健康、甚至还曾经参加过体育类竞技。两年前开始,经期来临之前出现腹痛,几乎每个月都有,甚至症状也基本相似:头痛,头晕,心跳快......」
「排除子宫内膜异位症、其他检查没有异常的话,那听起来这些症状确实像是经前期综合征(PMS)…… 你们那儿的妇科医生都下了诊断,不比我这个没亲眼看到病人的医生靠谱吗?」我妈并没有提出什么建设性的观点,她此刻更关心的是我有没有按时吃饭。
我匆匆挂了电话,确实,像她这种年轻的姑娘,身体健康,没有其他任何病史,癌症的风险很低,加上腹痛,心慌,头痛的症状似乎呈现某种周期性......既然, 95% 的生育期妇女都出现过经前期综合征症状,那么,她为什么不能是这 95% 呢!
回到病房,K 似乎缓过来了。于是她开始向我们详细的说明自己的情况 —— K 感觉,自己的情况似乎越来越重了:每个月腹痛的持续时间变长、疼痛程度加剧、腹痛间隔也开始变短。她认为自己应该绝不是 PMS 这么简单,为此,她已经尝试求证了太多遍。
「但每次都是无功而返,腹痛还是会再次找上门来。」
「你那么想要一个确切的『证据』,是为了得到一些安慰吗?」我揶揄道。
「这倒也不是」,K 露出了一个虚弱的微笑,「但总归我是希望不再被这种疼痛折磨。」
除了规律的腹痛,她还观察到自己洗澡时会掉很多头发,体重在 2 年内也下降了快 15kg。
图源:视觉中国
但是自从发病以来,由于无法确诊病因,精神科医生曾给 K 下过焦虑症的诊断,并建议她采取更健康的生活方式,比如饮食习惯和规律运动等,所以 K 也有意地通过减肥降低了自己的体重。
「我有时候也不太确定,我究竟是因为真的生了病才有了这些症状,还是仅仅因为我过度焦虑自己的身体?」
「没有什么其他问题的话,我们再做一个肠镜检查,看一看你的腹痛有没有可能是肠道问题造成的。」
K 同意了。
拿到 K 结肠镜检查结果的那一刻,果然不出我们所料:还是一切正常。
02.
几个月后,我又在医院见到了 K。
「医生,我昨天洗澡的时候发现肚子里有一个硬肿块……」
硬肿块?我走上前,打算进行一个常规的腹部触诊。
这一摸,我皱了眉头。
她说的没错,她的肚子里确实有一个不该出现的硬肿块,右肋下 2 公分左右,在那个位置,最常见的问题是——肝脏。
「做一个腹部超声吧。」
当探头扫到 K 刚刚硬块所在的位置时,我的神色立刻凝重了。即便是在超声图像上,也能明显的看见一些不该出现的低回声区影出现在她的肝脏下缘。
难道,K 持续多日的疑虑、笼罩她多日的阴影,是真的吗?
图源:视觉中国
顺着这可疑的影子,随后我们完善了 CT 和 MRI 的相关检查。
CT 检查的结果再次提示,那个可疑的阴影,并不是幻觉:K 摸到的那个小肿块,实际是肝脏上的多个肿瘤结节。
但,肝脏并不是最大的问题。她的肾脏上有更大的肿瘤!从影像学证据看来,K 肝脏的肿瘤是从肾脏扩散而来的。
所以,K 真的不是经前焦虑,她其实是那个最令人绝望的结果——癌症晚期,已经转移。
如果是肾脏的问题造成了她体内的液体潴留,的确可能导致高血压和头痛。而肝脏和肾脏由于肿瘤的生长,也确实可能造成她的腹痛。这就是全部症状的原因吗?
但总还是觉着有些不对劲。
之前的多次检查,不管是在我这里还是在其他医生那里,几乎没有回报过阳性结果,当然也许不能排除家庭医生与社区医院的疏漏。但是,对于一个生长了几乎可能达 2 年以上的肿瘤来说,这仍然是比较少概率的事件。
为什么医院的筛查会失效呢?
另一边的恢复室里,K 的体温开始升高,头晕目眩,视线开始变黑变模糊......
我大呼不妙,K 似乎正在失血,这表明我们刚刚活检取样的操作可能刺破了肿瘤的某些血管,再不制止 K 可能会休克。
仅仅是活检,仅仅一根细针穿刺进组织中,就已经让 K 出现了失血症状。可想而知,这个长在她肝脏的肿瘤血供是多么丰富,然而,这也间接说明了一种情况:K 的手术机会十分渺茫。
还是先看看病理活检的结果吧。
03.
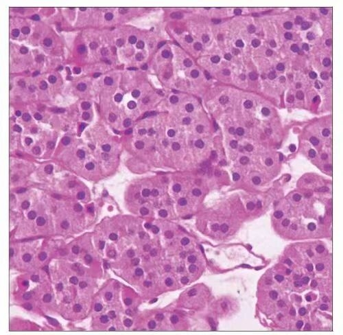
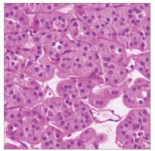
K 的病理活检结果出来了,那一大坨肿瘤组织的性质是:肾嗜酸细胞瘤。
我和同事不可置信地对视了一眼:什么?嗜酸细胞瘤?真的没有搞错吗?肾嗜酸细胞瘤,大家公认的良性肿瘤,扩散了?
肾嗜酸细胞瘤组织切片(非本病例)
图源:参考资料 [2]
经过反复确认,肾脏和肝脏上的肿瘤正是嗜酸细胞瘤。如果贸然选择通过切除的方式直接摘除病灶,出血量可能无法预估,K 有可能走不出手术间。
留给我们的办法,似乎只有先保守治疗。先通过药物治疗尽量缩小肿瘤的体积,为手术摘除创造条件。
但是,没有药针对这种通常不会恶性的肿瘤——转移性肾嗜酸细胞瘤的情况在医学记载中不超过 5 例!
翻遍了所有指南,查遍了所有资料,做遍了所有检查,留给我们和 K 的竟是这样一种境遇——几乎史无前例,无计可施。
我们将 K 的故事分享在多中心联合的病例研讨会上。大家对这份罕见的情况都予以了好奇及治疗上的探讨。由于实在太过于罕见,方案的制定谁的心里都没有底,总以「也许有效」、「可以试试」告终。
医学的进步和治疗的完善出自于无数个「史无前例」,而有朝一日真的触摸到知识边界,疾病笼罩下的窒息总还令一个医者五味杂陈。
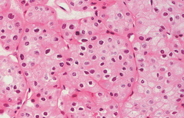
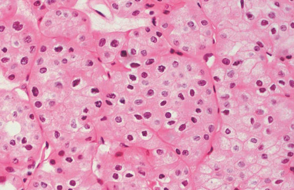
我们告诉 K,打算尝试性地用两种联合药物缩小她肿瘤的体积以及病灶的扩散,但是这种方案本身并没有用于肾嗜酸细胞瘤的先例,而是源自另外一种与它在起源上有相同之处的肿瘤——肾嫌色细胞瘤。
肾嫌色细胞瘤是公认的可以扩散的肿瘤。基本上只扩散到肝脏,先前曾有过肾到肝扩散并最终手术摘除的记载,同时,这种癌变也常见于年轻女性。
肾嫌色细胞瘤
图源:参考资料 [3]
鉴于两种肿瘤在起源、转移路径、病理特征上的部分相似之处,我们打算用嫌色细胞瘤的治疗,搏一搏。
「所以,我是第一个?」K 不确定地问道。
「是的,所以我们暂时无法向你保证治疗效果,甚至连可能性数字都没有,只能说也许有用。毕竟虽然它们在功能上不同,但是起源上是同一种肾细胞。」
「试试吧。」
K 的肿瘤在药物治疗一段时间后出现了变小的迹象。带着一丝侥幸的欣喜,我们又将这个治疗方案延长了三个月。期待肿瘤能进一步缩小。
然而,事情又发生了变故。
04.
风平浪静几个月后,值班的某个深夜,我接到了急诊的会诊电话。
在这里,我又一次见到了熟悉的面孔。
这次 K 前来的原因不再是腹痛了,而是腹部出血,严重的出血。而导致她严重出血的原因,正是她目前在接受的疗程——缩小嗜酸细胞瘤体积的联合用药方案。
倘若继续用药,K 很有可能在被肿瘤拖垮前就战败于严重出血。而如果放弃用药,张牙舞爪的罕见肿瘤可能又会继续肆意生长。
怎么办,怎么办。这真的是我截止目前的人生中做过的最难的一道选择题。
有人说,医学是一门权衡的艺术,你需要权衡药与药之间的相互作用,需要权衡个体反应和用药的剂量,需要权衡多个系统之间指标与状况,需要权衡患者的需求与目的,许许多多的权衡,目的有时不仅仅是治愈,而是治疗的最优解、患者的最优解。
而在 K 这里,我只能感谢上天提前为我交了答卷。鉴于用药后无法中止的出血,K 的药物治疗必须停止了。在综合了肝胆外科和泌尿外科的会诊意见后,我们认为,她的肿瘤恰好缩小到可以进行手术的指标了。
在一切准备就绪后。K 迎接了决定她命运的这场手术。
全美最顶尖的外科团队亲自操刀,术中移除了 K 右边肾脏以及肝脏上所有可见的肿瘤。术后不久,K 的血压很快回到了很久之前的正常水平,莫名持续的头痛以及心率过快,经期前周期出现的腹痛,都在这场手术中离她远去了。
......
一年后,K 来医院随诊,一切检查均无异常。
「目前看起来恢复的很好,你可以放心了。」我说。
「你现在还想寻找什么『证据』吗?」我笑着问她。
她也笑了,「我想应该不再需要有什么证据了。对了,Wang,在你回国之前,要不要来参加我下周末的婚礼?」
她现在看起来已经健康极了,完全无法想象一年之前,她曾置身于绝望之谷。
权衡,是每个医生的终身课题。
每位坐进诊间的患者,常带着对身体的疑虑前来。患者对病情的体验当然是最深刻和真实的,但从统计学意义而言,并非所有的主观叙述都一定对确诊有利。
人们对自己身体状况的关注,过度了会带来疾病焦虑,过少了恐怕会错过良机,从患者叙述中获得对病情的判断,恰是治疗窗口的平衡木。
疾病焦虑是大部分患者都会出现的情况,这源自于对疾病的三分未知,七分敬畏。坚持怀疑自己生病的患者里,往往一亿分之一的才会出现一个罕见病。比如 K,在故事的最后,她终于找到了那份惊天的「证据」。
除此之外,比起关注每一位患者的主诉,我们更应该思考是:
当超脱指南之外的罕见病例突然来袭,统计学之外的「极端值」出现,又该如何思考应对?
Ps:当然,K 的故事,如果发生在国内,也许早早就是一个 CT 快速解决了~
感谢伊利诺伊大学 Bernard Hsu(@Chubbyemu) 提供并授权使用该病例
致谢:本文经 重庆医科大学附属第三医院 肿瘤科主任医师 谢启超 专业审核
【注】
重庆医科大学附属第三医院 肿瘤科主任医师 谢启超 审核意见:
肾嗜酸细胞瘤是肾良性上皮性肿瘤,1942 年 Zippel 首先报道此病,1962 年由 Hamperl 命名为肾嗜酸细胞瘤,1976 年 Klein 和 Valensi 共同总结了 13 例肾嗜酸细胞瘤的临床及病理特点,之后该病才获得认可。
肾嗜酸细胞瘤占肾实质肿瘤的 3~7%,男性患者约为女性患者的 2 倍,患病年龄与肾透明细胞癌相似,高发年龄在 70 岁左右。病理上该细胞由细胞质丰富、且呈嗜酸性的大细胞构成,生长缓慢,极少出现远处转移,预后良好。
临床诊断主要依靠影像学检查,确诊需依靠手术后病理检查,肿瘤组织穿刺活检病理检查时易与肾透明细胞癌、肾嫌色细胞癌、肾乳头状腺癌混淆。该病的细胞遗传学特点较明显,有 1 号染色体和 Y 染色体的缺失,14 号染色体杂合性缺失,11q13 重排等。
本病例是一个年轻的女性,反复剧烈腹痛两年后确诊此病并发现肝脏广泛转移,幸运的是通过转化治疗及手术治疗后,患者奇迹般的恢复并走入婚姻的殿堂,也算是不幸中的万幸。作为罕见肿瘤,很多时候医生没有指南或者成熟的经验可以参考借鉴,所以内科治疗方案确实需要有丰富经验的医生结合疾病本身的特点与规律,大胆假设小心求证,在动态中权衡和调整,在关键时间节点勇敢决策,这是本案例取得成功的重要保障。
另外,值得我们思考的是,本例患者,在长达两年的时间里反复腹部剧痛入院就诊,接诊医生反复行肠镜检查,但居然没有做彩超或者 CT 来帮助诊断,可以想象,如果早做这些检查,可能患者经历的曲折和风险要少很多,不知道是美国相关医疗政策的限制还是接诊医生的疏忽导致,读者朋友们应该吸取其中的经验教训!
策划:yuu. | 监制:carollero
题图来源:视觉中国
*注:原型人物已于两年前完成手术,病例报告还未发表。
参考资料:
[1] https://ccr.cancer.gov/news/article/all-about-the-drive-a-rare-kidney-cancer-meets-its-match-at-nih
[2] Jul 6, 2016 | Posted by drzezo in PATHOLOGY & LABORATORY MEDICINE https://basicmedicalkey.com/renal-oncocytoma/
[3] 《恶性肿瘤:嫌色细胞型肾细胞癌解剖病理图谱》https://www.tsu.tw/edu/10102.html
中国医保,一生守护!维护医保基金安全,人人有责!打击欺诈骗保举报电话:010-89061396,010-89061397;邮箱:jubao@nhsa.gov.cn。




