来源:丁香园
本文作者:缪尔赛思
「……我现在还不知道十一值不值班啊?要是能买的到票,我肯定回去。」
刚刚下了夜班回家,我瘫在沙发上有一搭没一搭地回应着视频电话里妈妈的家常话。
「我挺好的,你二老在家照顾好身体。嗯,没啥事儿,我先去洗澡……」
正准备挂电话,妈妈突然说:「对了,你小姨的身体最近好像又不太好了,你在医院认识的人多,要不然让她和你小姨夫来找你看看病?」
对于这样的亲友问诊,我一向觉得有些麻烦,但此次不同,她是我的小姨。
小时候,妈妈工作比较忙,总是二十岁刚出头的小姨在家带我玩。
后来,上初中了,我们家搬到了另一座城市,隐隐约约听妈妈说起过,小姨的身体不太好,经常要到医院检查,有时甚至还需要住院治疗。
再后来,我考上医学院,去了更远的地方求学和就业,更是对小姨一家久疏问候。尽管如今我已经成为了一名医生,但对小姨的病情依然不甚了解,只听妈妈说过是似乎是心脏方面的问题……
思绪拉回到现实,我回复道:「好嘞!来之前一定跟我说一声,我提前安排好时间以便带她一起去看病。」
01
几周后,在我院心超室门前,我带着小姨一家人坐在候诊区耐心地等待。
与以往不同,这次,我提前详细地询问了小姨的病史,终于对她这些年的遭遇有了一个完整的印象。
大概十多年前,小姨发现自己经常在活动后感到胸闷、气促,走楼梯回五层楼的家,中间需要歇上一两次才行。在老家的市立医院就诊后,她被诊断为特发性肺动脉高压(IPAH)。
特发性肺动脉高压(IPAH)是一种病因不详的肺小动脉疾病,主要特征是血管增生和重塑。可引起肺血管阻力(PVR)进行性增高,最终引起右心室衰竭和死亡。
这十多年,小姨一家跑过市里、省里不少家医院,试了好多种药,但病情总是反反复复。一直到半个月前,小姨再次开始出现胸闷、气促频发,身体更加虚弱,上两层楼都困难,小腿跟着渐渐肿了起来,还开始不停地咳嗽、咳黄痰。
「我们托人问了省里的大夫,有的说要吃一个叫什么什么尼尔的药。」小姨夫说。
听到这里,我心里一惊。小姨夫说的应该是曲前列尼尔,这个药是治疗重症肺高压效果最好的方法之一,但曲前列尼尔价格不菲,且需要用输液泵 24 小时持续注射,存在败血症等严重副作用的风险,所以都是病情极其危重、准备肺移植的患者在用,属于肺高压的「最后希望」。
难道小姨的病真的到了这种程度?
雪上加霜的是,当我问起此前就诊的资料时,却发现大部分都已经丢失了。「没怎么整理过,之前搬家也不知道搞到哪里去了。」
谨慎起见,我还是决定带小姨先来我院完善检查。
02
「小陆?你们来了,快进来吧。」
我正在回忆里沉思,突然被点到名,一个激灵站了起来:「王教授好!您这么早就来了,辛苦您啊。」
「吃完饭就先来了,趁下午还没开诊。」
如果说每个医院的超声科都有一个「神探」,那多半都是在心超室,而在我们医院,这个人就是心超室的王老师。
无论是怎样疑难的问题,都难逃脱王教授的认真和精准,有时对于特殊病例,她会认真看上四、五十分钟。不少临床科室的医生都说:「没有王教授的报告,心里总觉得有点儿没底。」
「之前做过什么检查了?」王教授一边调整仪器一边问。
「上午先去做了心电图。」我赶忙回答,「显示有房颤,心电轴右偏到了+105º,有点 PAH 的意思。」
王教授点点头,不置可否。
「我在想,如果经胸壁超声实在查不出来,或许还可以考虑经食道超声或右心导管术,可以把血管情况看得更清楚一些。」我说。
「我的习惯是,不到万不得已,不给患者安排有创检查。」王教授说,「先扫上看看情况吧。」
我连忙噤声。
随着显示器上逐渐显现出一个跳动的影子,王教授一边调整着不同视角,一边向记录员简要描述着当下的情况:「心脏往左下移位,心腔明显扩大变形。」
顿了一下,王教授说:「确实,你这个心脏的标准切面不好找。」
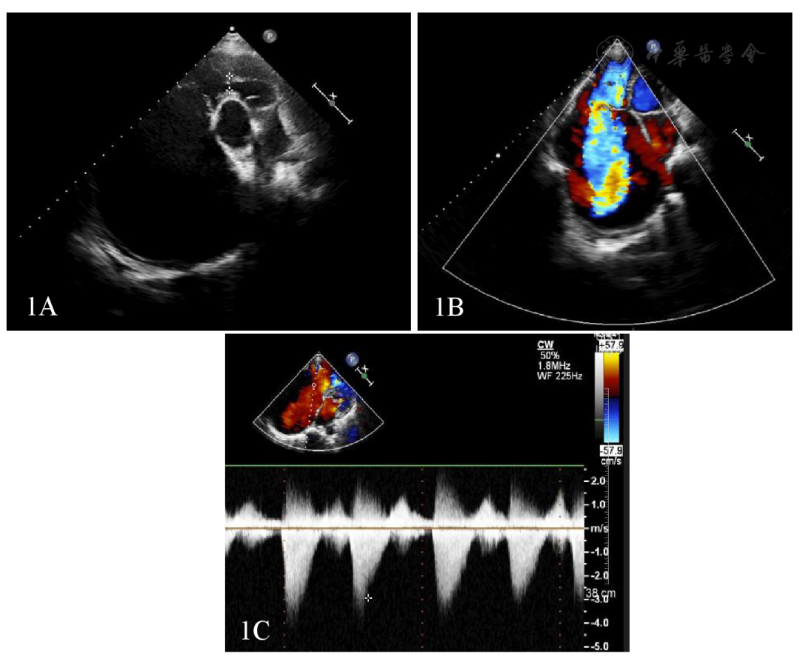
没等我回复,王教授继续扫着:「心尖四腔心切面,右房室增大。右房上下径约 12.6cm×10.2cm,三尖瓣极重度反流……」
又是一顿,这次,王教授沉默的时间比之前更长。
「胸骨旁大动脉短轴切面:右室流出道前壁肌束增厚,舒张期右室流出道最窄处内径,约 1.2cm……剑突下切面,右室舒张末期面积约 24.2cm^2,右室收缩末面积约 15.5cm^2,面积变化约 35.9%。」
图源:参考资料 1
王教授调整至彩色多普勒模式,对我说:「你看, 这里能看到,收缩期,三尖瓣有大量反流,而且右室流出道血流增速。」
没等我看太明白,王教授已经收起仪器,擦拭起上面的凝胶。
「等等,王教授,我……我还是有点没太看懂,您这边是怎么考虑的呢?」
王教授抬头看了我一眼,随即又将探头扫了上去:「再看看右心室,明白了没有?」
这次,我凑到屏幕前,仔仔细细审视起那个跳动的阴影……突然,倒吸了一口凉气。
03
几天后,食堂。
「你再看!看到没有?右室流出道的前壁这段肌束增厚,其实就是把右心室一分为二了……」我把手机上的图片放大,推给坐在一旁正在吃饭的师妹看。
「所以是右室双腔心?结果一直以为是特发性肺动脉高压,这不是开国际玩笑吗!」师妹发出的疑问,就和几天前的我自己一模一样。
如今,小姨的病情终于明朗,困扰她多年的并非是特发性肺动脉高压,而是一种少见的先天性疾病:右室双腔心。
这个疾病对于即将成为心内科医生的我来说并不陌生。
右室双腔心,也称为双腔右心室,右心室异常肌束、被分隔的右心室或三室心。
在患双腔右心室的患者中,右心室的异常肌束横跨右心室腔,止于右心室流入道部分的前壁。异常肌束的阻塞部位常发生在右心室腔内的小梁部,阻塞程度从轻度狭窄道完全阻塞,将右心室分隔为流入部的高压腔和流出部的低压腔,因此,右心室到肺动脉的血流受阻。
当梗阻严重时,患者可能会出现劳力性呼吸困难、疲劳、头晕或胸部不适。这正是小姨出现的症状。
但好在,右室双腔心可以通过外科手术治疗,即便是成年人,手术效果也相当不错。
想到这里,我不禁叹了口气:「也不知道之前的医院到底怎么看的,要是我早点带她来找王教授看就好了……」
右室双腔心示意图(图源:参考资料 5)
「小陆?你们也在食堂吃饭呢?」
突然被点到名的我,一个激灵站了起来:「王教授好!您也来食堂吃饭啊。」
王教授顺势坐在了我的对面,问道:「你家人怎么样了?」
「已经入住心外科了,过几天就手术,这次多亏了您!」
王教授笑着点了点头。师妹突然接话:「王老师,我还是不太明白,这么一个一眼就能看出来的疾病,为什么会耽误这么长时间啊?」
「理论上确实不应该出现。」王教授说,「这个患者诊断的主要难点在于,她的双腔右心室病程长,并发症也多,心肺疾病进展到心衰阶段,单从症状上来看,很难和特发性肺动脉高压区别开。」
「从我们超声的角度来看,患者的声窗透声条件不够好,右心室形状不规则、心脏明显重构变形,不容易获得标准切面,也很难了解到患者心脏全貌。」王教授说,「这个时候,就容易出现一个情况,叫『格式塔效应』。」
「什么是『格式塔效应』?」师妹问道。
而我已经火速打开手机搜索:「似乎是一个心理学概念,简单来说,人类的思维方式具有结构完整性的特点,会将结构不完整的事物依据其相应的特征补充完整。也就是……『脑补』?」
王教授点了点头:「看不到的地方,超声医生也可能下意识根据自己平时看到的心脏正常结构,自行脑补出一个正常的结构。
而这名患者在早期检查心超时,有可能是还没有出现三尖瓣极大量反流,右室壁增厚处于收缩高动力状态,因此,医生错误地认为高右心室压力代表肺动脉高压。
随着时间推移,患者右心功能失代偿,三尖瓣极重度反流,进入右室流出道的血量减少,且右室流出道与声束方向角度过大,并没有发现及监测到高速血流,此时,右室双腔心的诊断就更是难上加难了。」
「那应该如何避免『格式塔效应』的出现呢?」这次,我和师妹异口同声问道。
「还是站在我们超声医生的角度来看。如果因为患者声窗条件差等种种因素,很难看到心脏全貌,那也一定要保持客观的心态,不能默认看不到的就是正常的,有必要时可以进一步检查明确,比如经食道超声心动图、心脏核磁共振、心导管术等等。」王教授说,「不过,我的习惯还是……」
「不到万不得已,不给患者做有创检查!」这次,我终于知道正确答案了。
(策划:z_popeye|监制:gyouza、carellero)
本文改编自真实病例 1
致谢:本文经 哈尔滨医科大学附属第一医院心内科主任医师 刘越 专业审核
题图来源:视觉中国
参考资料:
[1]陈琳艳,孙旭东.误诊为特发性肺动脉高压的右室双腔心1例[DB/OL].中国临床案例成果数据库
2023(2023-01-02).http://journal.yiigle.com/LinkIn.do?linkin_type=cma&DOI=10.3760/cma.j.cmcr.2023.e00046.
[2]https://ccdas.pmphai.com/appdisease/toPcDetail?sessionId=&knowledgeLibPrefix=disease&id=19589
[3]https://www.ncbi.nlm.nih.gov/books/NBK546625/
[4]https://rs.yiigle.com/CN112137202101/1305811.htm
[5]https://www.sciencedirect.com/science/article/abs/pii/S1054880713001075
中国医保,一生守护!维护医保基金安全,人人有责!打击欺诈骗保举报电话:010-89061396,010-89061397;邮箱:jubao@nhsa.gov.cn。


